Critical Care



In Other News
Radiologists Play Major Role in Teaching Physiology to Medical Students
CT Technology Provides a New Standard for Dose Reduction
Cancer Patients Gain Access to Advanced Radiotherapy Treatments in Bangladesh
Physicians Caution Against Early Poststroke Mobilization
Unexpected Benefit Found for Osteoporosis Treatment
Multiple Chamber Bag for Parenteral Nutrition
X-Rays Tied to Increased Risk of Childhood Leukemia
Potentially Fatal Heart Infection Caused by Food-Borne Bacteria
Steroid-Dopamine Combination May Be Fatal in Septic Shock
On-Scene IV Fluids for Trauma Patients Cause More Harm Than Good
Hospital Bath Basins Contaminated with Resistant Bacteria
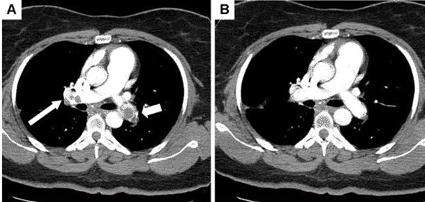
Multidetector CT Helps Identify Bullet Trajectories
Drug-Induced Deaths More Common Than Alcohol Related Fatalities
Children with ADHD Shown to Have Defective Off-Switch for Mind-Wandering
Orthostatic Blood Pressure Changes Could Add to Stroke Risk
New Lightweight Glucose Meter for Self-Testing
Menstrual Bleeding Drug Could Help Save Trauma Victims
Neonatal Test Developed for Lethal Genetic Metabolic Disease
Nonsteroid Anti-Inflammatory Drugs Hold Cardiovascular Risks
Clinical Decision Support Systems Help Control Inappropriate Medical Imaging
Chest Compression Device Improves Resuscitation Efforts
Daily Walking Reduces the Risk of Diabetes
Walking Found to Slow Progression of Alzheimer's Disease
HospiMedica Critical Care channel provides timely reporting on emergency medicine, intensive care, anesthesia, neonatal care, patient monitoring, respiratory care, infection control, and more hospital related subjects.







